Στην αποκατάσταση περιλαμβάνονται όλες οι εργασίες που σχετίζονται με την αποκατάσταση του οδοντικού φραγμού (το σύνολο των δοντιών) και σχετίζονται με τις βασικές λειτουργίες όπως είναι η μάσηση, η ομιλία, το χαμόγελο και η βιολογική ισορροπία του στόματος. Οι δύο βασικότεροι τομείς της αποκαταστατικής οδοντιατρικής είναι η Οδοντική Χειρουργική και η Προσθετική.
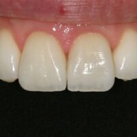
Οδοντική χειρουργική: Είναι ίσως ο πιο δημοφιλής τομέας της οδοντιατρικής παρόλο που οι περισσότεροι αγνοούν πως η επίσημη ονομασία της είναι αυτή. Στον τομέα αυτό εντάσσονται οι εμφράξεις (σφραγίσματα), έμμεσες αποκαταστάσεις δοντιών όπως είναι τα ένθετα και τα επένθετα (σφραγίσματα που κατασκευάζονται στο εργαστήριο από τον οδοντοτεχνίτη), οι ολοκεραμικές όψεις (όψεις πορσελάνης) και η αισθητική οδοντιατρική.

